Transforming smiles with precision and artistry
Your natural teeth are uniquely yours, but sometimes, they need a little enhancement to shine their brightest. If you’re looking to achieve a flawless, confident smile, our Louisville dental veneers may be the perfect solution.
At Summit Dental and Orthodontics, we craft ultra-thin, natural-looking porcelain or composite veneers that correct discoloration, chips, gaps, and uneven teeth. Using advanced techniques and high-quality materials, we ensure your veneers are stunning and long-lasting — so you can smile confidently every day.
Benefits of
getting dental veneers

Repair minor chips and cracks
Veneers can seamlessly cover small chips, cracks, or imperfections, restoring the appearance of your teeth.

Create a uniform, balanced look
Whether your teeth are uneven, misshapen, or have gaps, veneers can adjust their size, shape, and alignment to create a natural-looking smile.

A conservative cosmetic solution
Unlike more invasive procedures, veneers require minimal removal of tooth enamel.

Long-lasting and durable
With proper care, veneers can last for over a decade, making them a worthwhile investment.
Answers to the most
common questions of Dental Veneer
How long do dental veneers last?
With high-quality materials and expert craftsmanship, our veneers can last 10-15 years or more with proper care.
How do I care for my veneers?
Veneers require simple, routine care — brush twice daily, floss once a day, and visit us for regular check-ups and cleanings to keep your smile looking its best.
What if a veneer comes loose or gets damaged?
If your veneer feels loose, cracks, or comes off, contact us immediately. Our team is here to provide quick repairs or replacements to restore your smile.
Are veneers right for me?
Veneers are ideal for stains, chips, gaps, or minor misalignment — but they aren’t for everyone. If you have tooth decay, gum disease, or severe misalignment, we may recommend crowns, bonding, or orthodontic treatment instead. A consultation will help determine the best option for you.
Will veneers feel different from my natural teeth?
You may notice a slight difference at first, but most patients adjust within days. Veneers are designed for a comfortable, natural fit, and we can make any necessary adjustments to ensure they feel perfect.
What it’s like getting veneers
Consultation
We begin with a thorough exam and personalized smile assessment to determine if veneers are right for you.
Preparation
A small amount of enamel is removed to ensure a perfect fit, and impressions are taken for precise customization.
Custom Design
Using our in-house lab, we craft veneers that seamlessly match your natural teeth for a flawless result.
Placement
Once ready, we bond your veneers securely and make final adjustments for comfort and a perfect smile.
Aftercare
We provide expert guidance to keep your veneers looking beautiful for years to come.
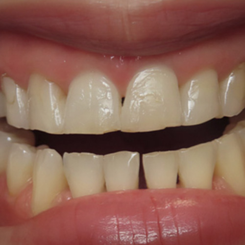
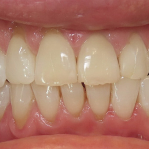
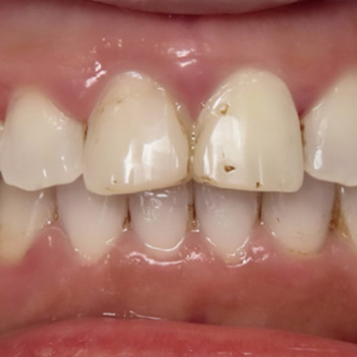
See what’s possible with porcelain veneers

Cheryl
Received 12 veneers to enhance her smile and fix a crossbite. All veneers were custom-designed by Dr. Harris in-house.

Adriana
Underwent a full smile makeover with 12 custom veneers. Aesthetic result was crafted entirely in the in-house lab.

Marilene
Post-Invisalign, she received 4 upper veneers to repair wear. Veneers completed a stable, beautiful result with proper root alignment.
Next-level dental care & maximum comfort
Private &
personalized care
Dental care should be personal. Enjoy Wi-Fi, refreshments, and privacy doors while we handle the details.
Tech that
works for you
From 3D imaging to surgical microscopes, we use cutting-edge tools for precise, efficient care.
Pain-free, stress-free
dentistry
With Solea Laser, sedation options, and expert care, your visit will be comfortable & effortless.
The proof?
It’s in the smiles
And in the 400+ 5-star reviews!
Patient Experiences
No referrals. No long waits.
Just expert, hassle-free dentistry. Book now to see your experienced Louisville dentists.
Proudly serving Louisville and nearby neighborhoods
Rock Creek | Coal Creek Ranch | Saddlebrooke | Coal Creek Crossing | Ridge at Superior | Calmante | Sagamore | Downtown Superior | Interlocken
1032 South 88th Street, Louisville,
CO 80027
(303) 440-3300
Monday: 9 am – 5 pm
Tuesday: 9 am – 5 pm
Wednesday: 9 am – 5 pm
Thursday: 9 am – 5 pm
Friday: By appointment only

